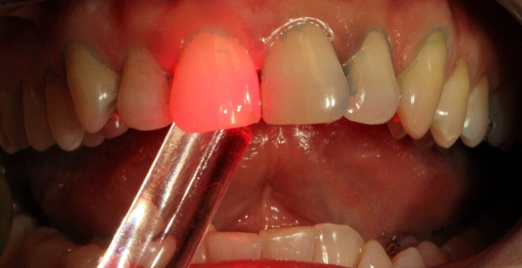
A modern fogászati klinikák természetesen már a XXI. századi fejlett technológiákat is alkalmazzák annak érdekében, hogy a kezelések valóban fájdalommentesek legyenek. A Dental XV-nél például a gyulladáscsökkentéshez, a gyógyulási folyamat meggyorsításához gyógyászati lézert (safe laser) használnak a szakorvosok.
A lézerterápia nem új, már 1961 óta alkalmazzák fogászati és szájsebészeti beavatkozások során, viszont nem árt tudni, ahogy fejlődik a technológia, úgy lesz egyre hatékonyabb a használata. Ugyanakkor fontos megjegyezni, nem helyettesíti a hagyományos kezeléseket, sem pedig a gyógyszeres terápiát, inkább kiegészíti azokat.

S, hogy miben nyújt segítséget a lézerkezelés?
A használata egyértelműen felgyorsítja a gyógyulási folyamatot, többek között foghúzás és műtét után, gyulladásos, herpeszes, aftás betegséget követően segíti a szövet regenerálódását, megakadályozza a bakteriális fertőzés kialakulását, terjedését.
A gyógyászati lézer a szövetekbe úgy hatol be, hogy nincs káros hatása, viszont segíti a szervezet természetes gyógyulási folyamatát. Például a bölcsességfog előretörésénél gyulladás léphet fel, s az bizony fájdalommal jár, míg a nem kívánt fog eltávolítását követően szövődmény alakulhat ki. A lézerkezeléssel csökken a gyulladás, enyhül a fájdalom, ezáltal hamarabb gyógyul a seb.

Vagy vegyük a fogprotézis viselését. Lassan rendbejövő sebeket okozhat, viszont a lézer egyértelműen csökkenti a „rehabilitációs időszakot”. Ugyanezt a hatást gyakorolja az implantátum-beültetésnél előforduló esetleges kellemetlenségek, illetve például az ínygyulladás kezelésénél.
Olyan kis teljesítményű lézerről van szó, amely az élő szövetekben bizonyíthatóan sebgyógyulást serkentő, fájdalomcsillapító és gyulladáscsökkentő hatást fejt ki. Gyors hámosodást eredményez, a gyógyulási idő jelentősen csökkenthető, így akár a varratokat hamarabb lehet eltávolítani a szájból.
A Dental XV-nél a beavatkozások során a legmodernebb eszközöket használjuk, éppen ezért a gyógyulási folyamatot kísérő esetleges kellemetlen érzéseket, elváltozásokat a lehető legrövidebb időn belül igyekszünk megszüntetni. A gyógyászati lézer, amelyet mi is alkalmazunk, ennek az egyik alapeszköze.
